令和4年度以前 日誌

授業参観 学年懇談 PTA総会

今日は、今年度最初の授業参観でした。今回は担任の授業を参観していただきました。

1年生 理科

2年生 国語

3年生 英語

学年懇談

PTA総会 今年度から小中合同のPTAがスタートします。

よろしくお願いいたします。

 

給食終了時に、昨年に引き続き来校してくださるスクールソーシャルワーカーの先生を紹介しました。

学校生活アラカルト 2023/04/25

今日の朝の活動は、生徒会役員からの伝達の時間です。

自分の担当学年に出向いて、生徒会総会につついて説明します。

資料を読み込んで練習中!

1年教室

2年教室

3年教室

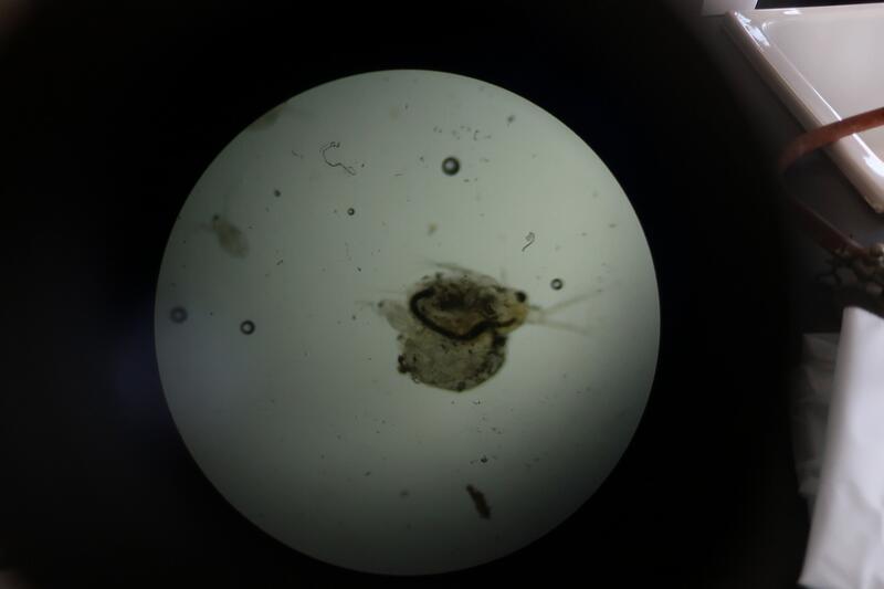
4時間目 1年理科

顕微鏡の使い方の学習で、ビオトープの微生物を探していたら・・・

カエルの卵を発見!

アメンボ!

水をくんで理科室へ。

さぁ、いよいよ顕微鏡でのぞいてみます。

何か見えるかな?

ミジンコがいました!!

学校生活アラカルト 2023/04/24

2年生 道徳 校内公開授業

先輩としての目標がたくさん書かれていました。

1年生 音楽

音符や記号のBINGOで盛り上がっていました!

3年生 英語 今日はALTの来校日です。

英検の予定です。どんどんチャレンジしましょう。

1年生 英語

2年生 数学

3年生 理科

 

 

学校生活アラカルト 2023/04/21

朝の活動

生徒会役員が、今年度の目標について話し合っていました。

教室では、運動会の話し合いをしていました。

5時間目の授業の様子です。

1年生 社会

2年生 国語

3年生 理科

学校生活アラカルト 2023/04/20

 今日は、朝の活動で板荷小学校から栄養教諭の先生をお招きして、「中学生に必要な栄養」という内容で食育講話をしていただきました。予定していた8:00前に集合して、予定より少し早くスタートすることができました。すばらしいですね。

今日は運動会前に50m走のタイムを計りました。

5時間目 1年生の様子を紹介します。

まず、練習です。

よーい、ドン

ではありません!!

なんだってー、こらぁーー

中学生はクラウチングスタートです。

先生も走ります!

帰りの会終了後に、避難訓練を実施しました。

2分7秒で避難完了しました。すごいですね。

 

 

 

学校生活アラカルト 2023/04/18

本日、全国学力・学習状況調査(3年)、とちぎっ子学習状況調査(2年)、知能検査(1年)を実施しました。

放課後、部活動の前にグループに分かれて運動会の種目を考えました。

今日は、部活動仮入部期間最終日です。入部したい部を決められたでしょうか?

あいにくの雨のため、野球部は図書室前で筋トレをしていました。

資源物回収

 4月15日(土)に資源物回収を実施しました。板荷小・中学校PTAの合同で小学生・中学生、保護者の皆様、地域の皆様が協力により、たくさんの資源物を回収することができました。収益金は今後の教育活動に活用させていただきます。大変お世話になりました。

朝の風景 2023/04/14

今朝の7:55頃の様子です。

登校した生徒たちが、エドヒガン桜が散らした花軸を掃いてくれていました。

こちらは、明日の資源物回収の準備です。

登校完了時間前に、みんなでこのような活動ができるのは、ともすばらしいことですね。

さすが、板荷中学校!

今日の午後、交通安全教室があるので、校庭に自転車をとめました。

 

 

学校生活アラカルト 2023/04/13

5時間目

1年生 初めての英語の時間です。自己紹介で盛り上がっていました。

3年生 社会

2年生 理科

バーナーの火を調節中

 

気体が発生しています!

今日は部活動見学のスタートです。

やさしい先輩に案内してもらうようです。

かっこいいところを見せないとね!

 

学校生活アラカルト 2023/04/12

身体計測

給食 1年生は中学校の食堂で初めての給食です。

3年生 体育

何だか楽しそうですね!

1年生 学活 

2年生 社会